Christine Clerici, Présidente d’Université Paris Cité, et Stewart Cole, Directeur général de l’Institut Pasteur, officialisent l’association de leurs établissements au service d’une stratégie scientifique concertée et partagée. Les deux institutions visent à co-développer et à renforcer des thématiques d’intérêt commun aussi bien en recherche fondamentale et translationnelle qu’en matière d’enseignement. Les domaines de la biologie et des maladies infectieuses émergentes, la résistance aux agents microbiens et la vaccinologie sont les premiers objectifs identifiés pour de futurs projets et programmes structurants.
L’Institut Pasteur est un acteur majeur de la recherche en biologie, en particulier dans les domaines des maladies infectieuses, de la biologie cellulaire, de l’immunologie, de la biologie du développement et des neurosciences.
Université Paris Cité est une grande université de recherche intensive pluridisciplinaire avec une force particulièrement importante en santé et en biologie, qui s’appuie sur une approche interdisciplinaire alliant les sciences expérimentales, naturelles, et formelles, ainsi que les sciences humaines et sociales dans toute leur diversité.
Cette association permet de construire une stratégie scientifique concertée et partagée qui s’appuiera sur le renforcement et le co-développement des thématiques déjà présentes au sein des deux établissements, tant en recherche fondamentale que translationnelle.
Les deux institutions ont notamment une expertise reconnue dans le domaine des maladies infectieuses, avec environ deux-tiers du potentiel de recherche de l’Institut Pasteur et une grande tradition de recherche et de soin au sein de la Faculté de Santé d’Université Paris Cité.
Si les deux établissements partagent des domaines d’excellence telles que la microbiologie, l’immunologie, la biologie structurale, la chimie, des synergies mutuellement bénéfiques seront développées dans les domaines de la biologie du développement, la biologie cellulaire, les neurosciences, les sciences dures et les sciences humaines et sociales.
La stratégie scientifique partagée par les deux institutions sera marquée par une forte intégration de la recherche fondamentale et de la recherche clinique, laquelle s’appuiera notamment sur les sites hospitalo-universitaires d’Université Paris Cité dans le nord et le centre de Paris (Necker, Cochin, HEGP, Saint-Louis, Lariboisière, Bichat).
Enfin, l’association entre Université Paris Cité et l’Institut Pasteur porte une grande ambition de rayonnement au niveau international. Avec ses 33 membres répartis sur les 5 continents, le Pasteur Network constitue un atout à fort potentiel dans ce domaine.
Une association qui repose sur une collaboration ancienne et des liens forts tant en formation qu’en recherche
Les collaborations existantes entre Université Paris Cité et l’Institut Pasteur sont multiples. En effet, plusieurs équipes mixtes sont déjà en place et Université Paris Cité est aujourd’hui tutelle de huit unités de l’Institut Pasteur. Par ailleurs, il existe déjà des cursus communs aux deux institutions. Enfin, 25% des publications de l’Institut Pasteur sont actuellement cosignées avec Université Paris Cité.
La mutualisation des moyens humains et technologiques et le partage de visibilité, déjà bien installés, seront renforcés par cette association entre les deux institutions.
Au bénéfice du plus grand nombre
Cette association sera profitable aux communautés des deux institutions : les chercheurs comme les étudiants verront leur mobilité facilitée, de nouvelles plateformes technologiques seront mises en place, de nouvelles structures de recherche pourront émerger. En outre, sur les questions de santé globale, des approches interdisciplinaires pourront être développées.
Toutes ces avancées contribueront à accroître l’impact des deux institutions au service de leurs missions.
« C’est un ambitieux partenariat qui se dessine aujourd’hui. Ensemble, Université Paris Cité et l’Institut Pasteur souhaitent se positionner comme un acteur incontournable en biologie-santé tant au niveau national qu’international » déclare Christine Clerici, Présidente d’Université Paris Cité.
« Devenir organisme partenaire d’une université représente une avancée majeure dans l’histoire de l’Institut Pasteur. Je me réjouis de cette association avec Université Paris Cité, qui nous permet aujourd’hui de nous inscrire pleinement dans cette nouvelle dynamique et de gagner en diversité et en agilité, au service de nos missions. » ajoute Stewart Cole, Directeur général de l’Institut Pasteur.
L’association Université Paris Cité et Institut Pasteur : une gouvernance équilibrée
L’Institut Pasteur devient « organisme de recherche partenaire » d’Université Paris Cité. Ce statut permet de garantir le respect mutuel de l’autonomie institutionnelle, scientifique et budgétaire des deux partenaires.
L’association se traduit par une gouvernance équilibrée, avec la présence des présidents dans les conseils d’administration des deux institutions et une représentation réciproque dans le sénat académique d’Université Paris Cité et de l’Assemblée de la Fondation Institut Pasteur.
Les statuts révisés de chaque établissement ont été approuvés par leurs conseils respectifs et feront l’objet de décrets.
À lire aussi
Les ondes de Kelvin : des tourbillons quantiques aux tornades géophysiques
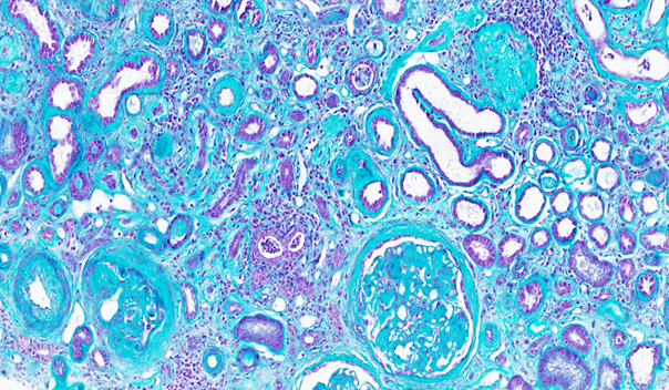
Découverte d’un nouveau mécanisme clé de la progression des maladies rénales
Les maladies rénales chroniques ont un point commun : une fois amorcées, quelle qu’en soit la cause et même si celle-ci est traitée, elles finissent toujours par s’aggraver. Deux équipes de l’Inserm, de l’Université Paris Cité et du CNRS viennent de découvrir le chef...
Un nouveau test PCR plus fiable pour détecter l’aspergillose invasive
Une étude coordonnée par le Pr Alexandre Alanio (Université Paris Cité/Institut Pasteur/Hôpital Saint-Louis, AP-HP) met en évidence l’intérêt d’un test de détection génétique (PCR) pour améliorer le diagnostic et le suivi de l’aspergillose invasive, une infection...
Contentions en réanimation : réduire leur usage n’améliorerait pas le pronostic des patientes et patients
En réanimation, des contentions physiques, souvent sous la forme de sangles aux poignets, sont parfois utilisées pour prévenir les gestes à risque chez les patientes et patients sous ventilation mécanique. Une étude clinique coordonnée par le Pr Romain Sonneville...