Paludisme : rigidifier les globules rouges infectés pour stopper la transmission de la maladie

© Abdoulaye Sissoko, Sonia Gorgeault, Philippe Roingeard, Pierre Buffet
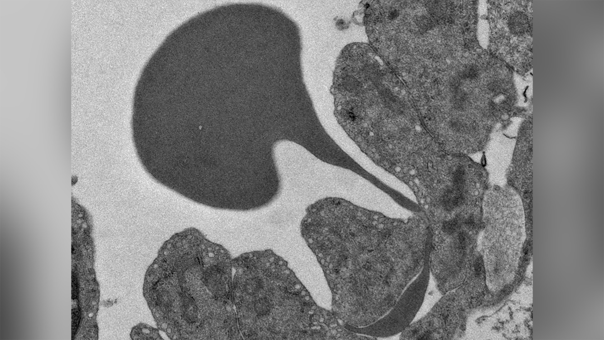
Globule rouge (gris sombre) se faufilant à travers la paroi d’un sinus de la rate
Dans une récente étude publiée dans la revue Nature Communications, l’équipe du Professeur Pierre Buffet (UMRS 1134, Université Paris Cité – Inserm), s’intéressant aux proportions de globules rouges infectés par le parasite du paludisme présentes dans le sang et la rate, a explicité les mécanismes de filtration du sang par la rate et identifié 2 médicaments susceptibles de décupler l’efficacité de cette filtration. Les globules rouges infectés seraient alors retenus dans la rate pour y être détruits et éliminés, stoppant ainsi la transmission de la maladie.
Le paludisme est une maladie infectieuse potentiellement mortelle due à plusieurs espèces de parasites microscopiques appartenant au genre Plasmodium. Transmis à l’Homme par la piqûre d’un moustique lui-même infecté, le parasite s’installe dans le foie, puis se multiplie au bout de quelques jours dans les globules rouges et les fait éclater. Il peut alors se disperser et infecter de proche en proche de plus en plus de globules rouges.
De l’infection à la maladie
Le parasite du Paludisme évolue d’une forme asexuée responsable de l’infection à une forme sexuée, appelée gamétocyte, responsable de la transmission de l’infection. La forme asexuée se multiplie en quelques jours ce qui rend le patient malade. Une fois traité, les formes asexuées du parasite dans le sang disparaissent et les symptômes aussi. En revanche, les formes sexuées du parasite (dérivés des formes asexuées) persistent dans le sang pendant 2 à 3 semaines et rendent le patient contagieux, donc vecteur de l’infection.
La rate : un filtre mécanique
Dans l’organisme, la rate est l’organe simultanément chargé de générer une réponse immunitaire face aux microbes contenus dans le sang et de filtrer le sang pour détruire et éliminer les globules rouges anormaux, trop vieux ou infectés. Dans une précédente étude, l’équipe de recherche dirigée par Odile Mercereau Puijalon à l’Institut Pasteur (Innocent Safeukui, Peter David, Geneviève Milon and Pierre Buffet,..) avait mis en évidence, que, chez les patients infectés, si la moitié des globules rouges infectés est bien retenue dans la rate pour y être détruite, l’autre partie repart dans la circulation sanguine où elle exerce ses effets néfastes et poursuit les mécanismes d’infection des globules rouges sains. Partant de ce constat, l’équipe a cherché à comprendre pourquoi le rôle de filtre de la rate n’est pas efficace sur tous les globules rouges infectés.
La rate est un organe particulier dans lequel le sang sort des vaisseaux pour entrer en contact avec les macrophages chargés « d’analyser » les globules rouges pour détruire ceux devenus anormaux, trop vieux ou infectés. Le sang entre dans la rate par une artère et sort par une veine. Dans la rate, les globules rouges, se trouvent au contact direct des macrophages, hors du réseau circulatoire habituel, puis traversent la paroi de petites veines (les sinus) en se déformant de façon majeure pour regagner la circulation sanguine générale. Seuls les globules rouges normaux peuvent franchir cet obstacle mécanique et repartir dans la circulation.
Chez les patients atteints de paludisme, les globules rouges infectés entrent dans la rate et une partie n’en ressort pas. Les chercheurs ont donc émis l’hypothèse que les globules rouges infectés, dont la surface membranaire est pourtant normale, ont peut-être simplement des difficultés à se déformer pour franchir la paroi des sinus et retourner dans la circulation. Ils ont alors étudié les propriétés physiques des globules rouges infectés et montré qu’ils sont plus rigides que les globules rouges sains. Les globules rouges infectés sont donc moins capables de se déformer pour franchir le filtre de la rate.
L’équipe de recherche a alors voulu poursuivre ses investigations en s’appuyant sur cette propriété de « rigidité acquise » par les globules rouges lors de l’infection. Leur postulat : si une molécule est capable d’augmenter suffisamment la rigidité de tous les globules rouges infectés par le paludisme, alors la rate pourra retenir l’ensemble des globules rouges infectés pour que les macrophages les détruisent, mettant ainsi fin à la transmission de l’infection.
Traiter la population pour éradiquer la maladie
Pour ce faire, l’équipe de recherche, dont Julien Duez et Mario Carucci sont les principaux acteurs, en étroite collaboration avec le groupe sur la malaria dirigé par Javier Gamo et Laura Sanz-Alonso à GSK Tres Cantos, a testé l’activité de plus de 13 000 médicaments, tous déjà évalués au cours d’essais cliniques de phase 1 chez l’Homme. L’avantage est que pour ces dernières, les chercheurs disposent de beaucoup d’informations relatives à la tolérance vis-à-vis de ces molécules mais aussi à leur mode d’administration.
Le criblage des 13 555 molécules, 1re partie de l’étude, a permis d’identifier 112 médicaments actifs, donc rigidifiant les globules rouges infectés, à forte dose. La 2e étape a permis d’évaluer pour ces 112 médicaments, la dose optimale à administrer pour atteindre le degré de rigidité des globules rouges infectés suffisant pour qu’ils soient retenus dans la rate. L’équipe a alors analysé les données pharmacologiques complètes de ces médicaments et a cherché celles pour lesquelles la dose efficace pouvait être atteinte dans le sang des personnes traitées avec une seule dose administrée par voie orale. En fin d‘étude, seules 2 ont molécules ont été retenues : la cipargamine et la TD-6450.
Des études complémentaires doivent désormais être menées chez l’Homme, afin de confirmer que ces deux médicaments, administrés par voie orale pendant une durée très courte, interrompent en effet la circulation des globules rouges infectés par les gamétocytes chez tous les patients et que, par voie de conséquence, la transmission soit elle aussi interrompue.
Références
Safe drugs with high potential to block malaria transmission revealed by a spleen mimetic screening
DOI : https://doi.org/10.1038/s41467-023-37359-2
Contacts
presse@u-paris.fr
Pierre Buffet, Professeur des universités – Praticien hospitalier, Directeur médical à l‘Institut Pasteur.
À lire aussi

L’Université Paris Cité félicite les 11 lauréates du Prix Jeunes Talents France l’Oréal – UNESCO
La Fondation L’Oréal, en partenariat avec l’Académie des sciences et la Commission nationale française pour l’UNESCO, a dévoilé le palmarès du Prix "Jeunes Talents France 2025 L’Oréal-UNESCO Pour les Femmes et la Science". L’Université Paris Cité félicite ses 11...

Syndrome du bébé secoué : un plan de gestion des pleurs du nourrisson remis à seulement une mère sur deux en maternité en France
Les plans de gestion des pleurs du nourrisson visent à prévenir les traumatismes crâniens non accidentels, également appelés syndrome du bébé secoué. Une étude nationale menée par l’Université Paris Cité, l’Inserm, l’AP-HP, Santé Publique France et le CHU de Nantes,...

Retour sur la présentation des appels européens du Cluster 6 : Alimentation, bioéconomie, ressources naturelles, agriculture et environnement
Le 14 octobre 2025 matin s’est tenue dans la Salle du Sénat sur le site Odéon de l’Université Paris Cité, la session d’information sur le Cluster 6 : Alimentation, bioéconomie, ressources naturelles, agriculture et environnement. Ce séminaire, organisé par le Réseau...

L’impact favorable du peau à peau sur le devenir neurocognitif de l’enfant né prématuré
Une étude de cohorte menée par l’Université Paris Cité, l’Inserm, INRAE et l’Université Sorbonne Paris Nord, en collaboration avec le CHRU de Tours et le CHI de Créteil, a permis d’évaluer les effets à long terme du contact peau à peau chez des enfants nés extrêmement...