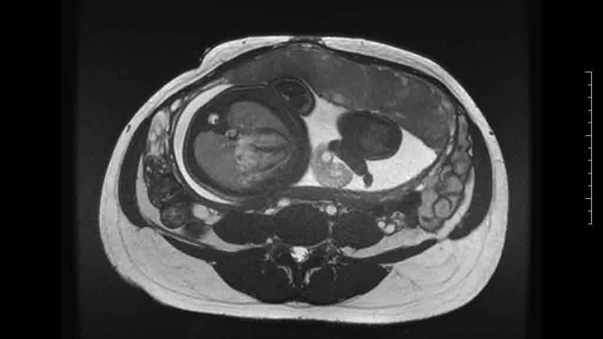
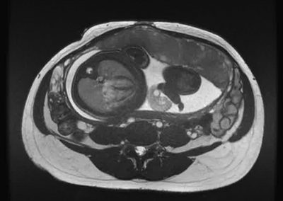
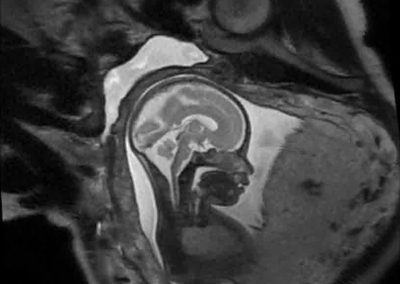
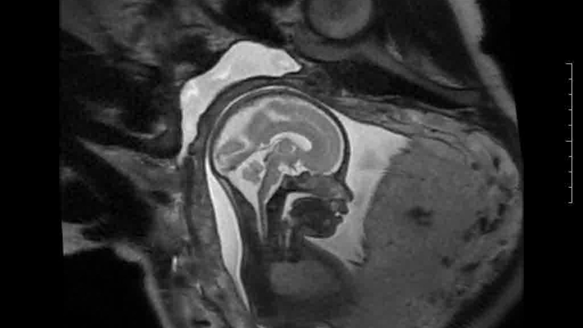
L’Université Paris Cité franchit une nouvelle étape dans le domaine de l’imagerie médicale anténatale avec l’acquisition d’un système d’Imagerie par Résonance Magnétique (IRM) 1,5T ARTIST™ de GE HealthCare. Cet équipement de pointe renforce les capacités de la Plateforme LUMIERE à l’hôpital Necker-Enfants malades, plateforme intégrée de soins, de recherche clinique et d’enseignement en imagerie médicale de la femme enceinte, du fœtus et du placenta.
© Fondation LUMIERE
Une avancée technologique majeure pour la recherche anténatale
L’acquisition de cette nouvelle IRM s’inscrit dans le cadre du protocole de recherche « LUMIERE SUR LE FETUS », dont les objectifs sont d’améliorer la prise en charge des pathologies anténatales, d’affiner leur pronostic et de contribuer à la réduction de la morbidité et de la mortalité à court, moyen et long terme. Cette acquisition a été rendue possible grâce au don exceptionnel de la Fondation LUMIERE d’un montant de 250k euros ainsi qu’au soutien de l’Université Paris Cité à hauteur de 670k euros.
Implantée à l’hôpital Necker-Enfants malades, la Plateforme LUMIERE est une plateforme unique au monde, qui a vu le jour grâce notamment au soutien de l’Université Paris Cité, de l’AP-HP et de la Fondation LUMIERE.
Une plateforme au service de la recherche et des patientes enceintes
Depuis 2020, la Plateforme LUMIERE offre aux femmes enceintes volontaires, entre 16 et 36 semaines d’aménorrhée et suivies à l’hôpital Necker-Enfants malades, la possibilité de participer activement à l’avancée de la recherche en médecine fœtale, tout en bénéficiant d’une IRM fœtale au cours de leur grossesse, réalisée dans un cadre sécurisé et encadré.
L’inclusion de ces patientes, depuis leur accueil jusqu’à la réalisation des examens d’imagerie, puis l’analyse des images et l’interprétation des résultats par des équipes expertes, enrichit une base de données structurée, unique au monde, au service de la recherche et de l’innovation en imagerie anténatale et en médecine fœtale.
Un soutien à la formation et à l’innovation scientifique
La Plateforme LUMIERE accueille chaque année plusieurs jeunes chercheurs (masters, doctorants et post-doctorants). Leurs travaux de recherche visent, à terme, à améliorer le diagnostic et le pronostic des pathologies anténatales, afin de mieux anticiper et optimiser la prise en charge des nouveau-nés. Ces travaux ont déjà mené à des communications et des publications scientifiques dans des revues à comité de lecture.
En soutenant des vocations scientifiques et en accompagnant celles et ceux qui construisent la recherche de demain, la Plateforme LUMIERE contribue activement à l’enrichissement des connaissances sur le développement fœtal et placentaire.
Avec l’intégration de ce nouvel équipement IRM de dernière génération au sein de la Plateforme LUMIERE, l’Université Paris Cité réaffirme son engagement en faveur d’une recherche d’excellence, au service de l’innovation médicale, de la formation et de l’amélioration de la santé maternelle et néonatale.
À lire aussi
[Pharmacie] Exposition “Des Fondements de la Radioactivité aux Applications Médicales”
Journée Mondiale de la Santé 2026
À l’occasion de la Journée mondiale de la santé du 7 avril, l’Université Paris Cité réaffirme son engagement historique en faveur d’une santé innovante et équitable. Classée première en France depuis plusieurs années dans les 6 domaines de la santé du classement de...
Contentions en réanimation : réduire leur usage n’améliorerait pas le pronostic des patients
En réanimation, des contentions physiques, souvent sous la forme de sangles aux poignets, sont parfois utilisées pour prévenir les gestes à risque chez les patients sous ventilation mécanique. Une étude clinique coordonnée par le Pr Romain Sonneville (Hôpital Bichat –...
L’Université Paris Cité au salon MedInTechs 2026 : innovation et santé des femmes au cœur des débats
Les 9 et 10 mars 2026, le Parc Floral de Paris a accueilli le salon MedInTechs, un événement incontournable dédié aux innovations médicales et technologiques. L’Université Paris Cité, par le biais de sa Faculté de Santé, y était fortement représentée, avec une...